Rediscover Your Perfect Smile: Front Teeth Dental Implants at Perfect 32 Dental Clinic, Ranchi
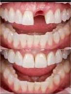
Losing a front tooth can be a jarring experience, immediately impacting your self-confidence, speech, and overall appearance. If you’re searching for a permanent, natural-looking solution, look no further than front teeth dental implants at Perfect 32 Dental Clinic and Implant Centre—widely regarded as the best dental clinic in Ranchi.

We understand that your front teeth are crucial to your smile. That’s why we specialize in high-quality dental implants in Ranchi, providing a seamless, durable, and aesthetically superior replacement for missing or damaged teeth.
Why Front Teeth Dental Implants are the Gold Standard
For replacing a tooth in the ‘smile zone’, dental implants offer unmatched benefits compared to traditional bridges or dentures:
| Key Benefit | How Dental Implants Help |
| Natural Aesthetics | The custom-made ceramic crown is crafted to precisely match the colour, shape, and translucency of your adjacent natural teeth, ensuring your smile is flawless and seamless. |
| Bone Preservation | Unlike bridges or dentures, the titanium implant acts as an artificial tooth root, stimulating the jawbone and preventing the bone loss that naturally occurs after tooth extraction. This preserves your facial structure and prevents a sunken appearance. |
| Long-Term Durability | With proper care, dental implants can last a lifetime, making them a one-time investment in your oral health and smile. |
| Preservation of Adjacent Teeth | A dental bridge requires filing down the healthy teeth next to the gap for support. Implants are a standalone solution, leaving your healthy, adjacent teeth untouched. |
| Comfort & Function | Once healed, your implant-supported crown functions just like a natural tooth. You can eat, speak, and smile with total confidence and stability. |
The Perfect 32 Advantage: Expertise in Dental Implants in Ranchi
When considering a front tooth replacement, precision and aesthetic expertise are paramount. At Perfect 32 Dental Clinic, we combine state-of-the-art technology with the skill of experienced implant specialists to ensure successful, aesthetically perfect results:
- Advanced Planning: We use advanced imaging and 3D planning software to precisely map the ideal position for your implant, crucial for the delicate aesthetics of a front tooth.
- Aesthetic Focus: Our dentists are specialists in cosmetic dentistry, ensuring your final crown integrates perfectly with your existing smile line, gum tissue, and tooth colour.
- Painless Procedure: We prioritize your comfort, using modern, minimally invasive techniques to ensure the implant placement procedure is virtually painless.
- Temporary Solutions: During the healing period, we provide aesthetic temporary restorations so you never have to go without a tooth in your smile line.
Your Journey to a Flawless Smile

Getting a front tooth dental implant is a multi-step process, meticulously managed by our team:
- Consultation & Planning: A thorough examination, including digital scans and possibly 3D CBCT, determines your suitability for the implant.
- Implant Placement: The titanium post is surgically placed into the jawbone.
- Healing (Osseointegration): The implant fuses with the bone, a process that takes a few months. A temporary tooth will be provided.
- Crown Placement: Once fully healed, the custom-made, permanent crown is attached to the implant, completing your beautiful, new tooth.
Ready to Restore Your Confidence?
Don’t let a missing front tooth hold you back any longer. Choose the trusted expertise for dental implants Ranchi.
Contact Perfect 32 Dental Clinic and Implant Centre today to schedule your consultation and take the first step toward a complete, confident smile.
Perfect 32 Dental Clinic and Implant Centre
Address: Sahajanand chowk, HI-208, Harmu Housing Colony, Tongritoli, Ranchi, Jharkhand 834002
Call Us: 062045 22473
Website: https://perfect32ranchi.com/